Dental Fillings in Langley
Professional dental fillings to restore cavities and damaged teeth with durable, functional results.

Experienced Specialists
Highly trained dental professionals
Advanced Technology
State-of-the-art dental equipment
Comfortable Experience
Patient comfort is our priority
About Dental Fillings
Last week, my friend Lisa from East Clayton called me worried sick. Her 8 year old daughter Emma had been hiding her tooth pain for days because she was terrified of getting a "silver tooth" like her older brother had years ago. When I told Lisa about the tooth colored fillings we use now, she couldn't believe how much dental technology had changed.
That conversation happens a lot in our Langley Township office. Parents and adults alike remember the old silver amalgam fillings and think that's still their only option. The truth is, modern dental fillings in Langley have come a long way.
Why Our Dental Clinic in Langley Does Fillings Differently
Our dental clinic at 8029 199 St #250 in Langley Township has been helping families from Surrey, Cloverdale, Walnut Grove, and throughout the Fraser Valley get beautiful, natural looking fillings for over five years. What makes us different? We actually take time to show you the filling material before we put it in your mouth.
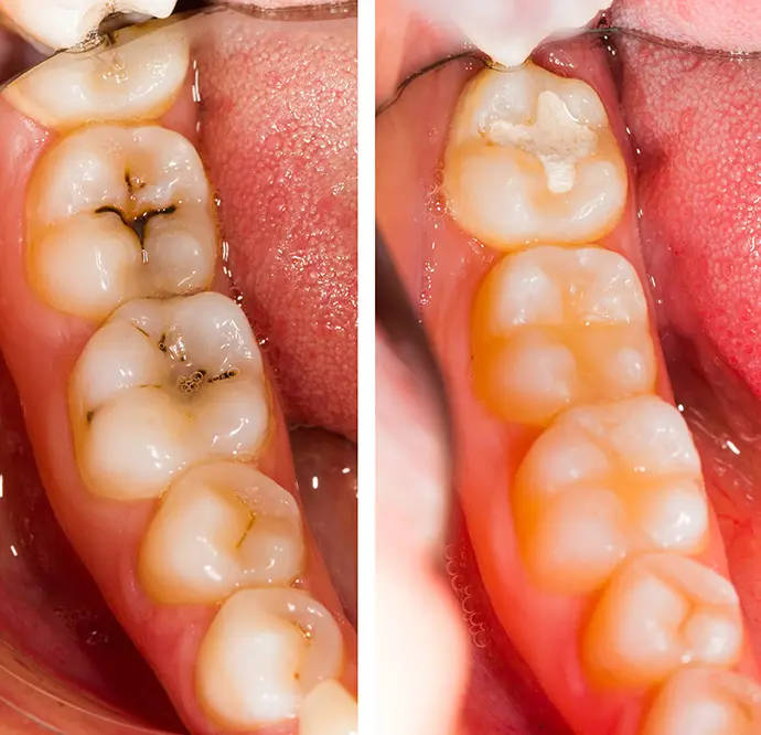
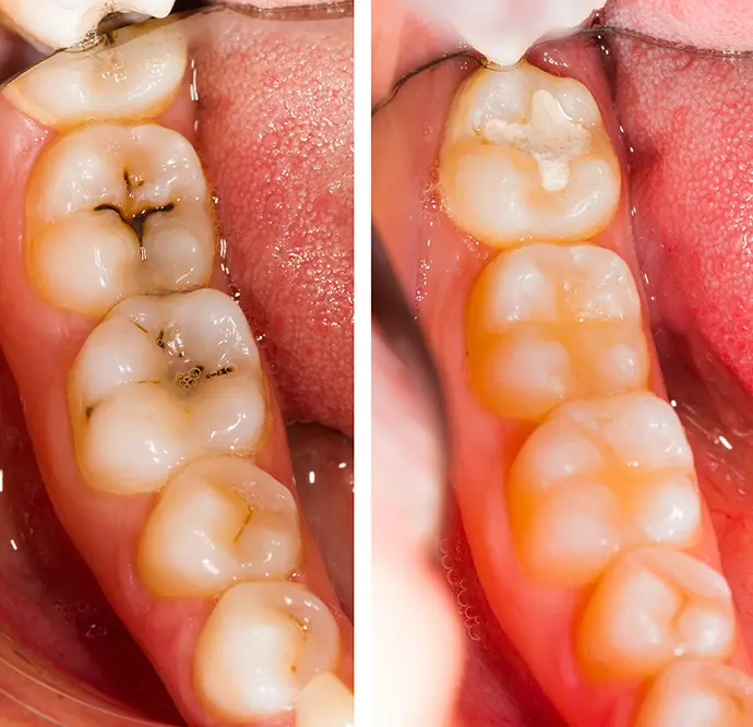
Most patients are shocked when they see how perfectly the composite resin matches their tooth color. We mix and test different shades right in front of you until we get an exact match. No more silver metal showing when you laugh or smile.
The location of our clinic makes it easy for families from Willoughby, Yorkson, Brookswood, and even Anniedale to get here quickly. We're right off 80th Avenue, so if you're coming from Clayton or East Clayton West, it's a straight shot down 199th Street.
What Getting Dental Fillings in Langley Actually Feels Like
Here's what really happens when you get a filling at our office. First, we numb the area completely. Not just a little numb, totally numb. You shouldn't feel anything except maybe some pressure.
Then we remove only the decayed part of your tooth. The old method was to drill out huge chunks of healthy tooth along with the decay. Now we use precise techniques that save as much of your natural tooth as possible.
The filling material goes on in thin layers. Each layer gets hardened with a special blue light. The whole process takes about 30 minutes for most cavities. By the time you leave, you can eat normally.
A patient from Langley Meadows told me she was amazed that she could drink her coffee right after getting her filling done. No waiting period, no special diet. Just back to normal life.
Cosmetic Dentist Approach to Natural Looking Fillings
As a cosmetic dentist practice, we understand that your smile matters. Getting a filling shouldn't mean compromising how you look. That's why we spend extra time on the finishing touches.
After the filling material hardens, we shape and polish it to match the exact contours of your natural tooth. We recreate the little grooves and ridges that help you chew properly. Most people forget which tooth even had the filling.
A teacher from Willowbrook came in last month with a front tooth cavity. She was worried about how it would look in front of her students. When we finished, she couldn't even tell which tooth we had worked on. Neither could her students.
The cosmetic benefits go beyond just matching color. These fillings actually strengthen your tooth. Unlike old silver fillings that can expand and crack your tooth over time, composite fillings move with your tooth naturally.
Emergency Dental Service for Broken Fillings
Sometimes old fillings break or fall out at the worst possible times. Our emergency dental service covers patients throughout Surrey, Langley, and surrounding areas when dental disasters strike.
Last month, a hockey player from Clayton called us on a Saturday night. He'd taken a puck to the face and his old silver filling had cracked his tooth. We got him in that evening and replaced the broken filling with a new composite one. By Monday morning, he was back on the ice.
Emergency filling repairs are one of our most common after hours calls. Whether you're in Jericho, Routley, or North Cloverdale East, we can usually see you the same day for urgent filling problems.
The great thing about modern filling materials is that we can often do emergency repairs right away. No waiting weeks for a lab to make something. We fix it and you're done.
Pediatric Dentist Care for Kids' Fillings
Kids need special care when getting dental fillings in Langley. Our pediatric dentist approach makes the whole experience less scary for children and less stressful for parents.
We use kid friendly language. Instead of "drilling," we talk about "cleaning out the sugar bugs." Instead of "shots," we give "sleepy juice" to make teeth comfortable. Simple changes that make a huge difference.
A mom from North East Gordon brought her twin boys in last year. One needed three fillings, the other needed two. By the end of their appointments, both boys were asking when they could come back to see us again. That's how kids should feel about dental visits.
For children, we're extra careful about color matching. Kids are the first to point out when something looks different in their mouth. We take extra time to make sure their fillings blend perfectly with their natural teeth.
Teeth Whitening Service After Filling Treatment
Sometimes patients want to brighten their smile after getting fillings. Our teeth whitening service works perfectly with new composite fillings. But here's what you need to know about timing.
We match your fillings to your current tooth color. If you want whiter teeth, it's better to whiten first, then get fillings matched to your new brighter smile. Fillings don't change color when you whiten, so planning ahead gives you the best results.
A bride from Southwest Gordon Estate learned this the hard way. She got her fillings done first, then whitened her teeth for her wedding. Her natural teeth got whiter, but her fillings stayed the same shade. We had to replace the fillings to match her new bright smile.
Our professional whitening treatments work great for patients from Brookswood, Langley, and all over Surrey. We can often coordinate filling and whitening treatments to give you the best possible results.
Types of Dental Fillings We Use in Langley
We use composite resin fillings for most situations. They're tooth colored, strong, and bond directly to your tooth. For bigger restorations, we might recommend porcelain inlays or onlays, but regular composite fillings handle 90% of cavity repairs.
The filling material we use comes from top dental manufacturers. It's designed to last 10 to 15 years with proper care. Some of our patients have composite fillings that have lasted even longer.
Silver amalgam fillings are still available if you specifically want them, but honestly, almost nobody chooses silver anymore once they see how good the tooth colored options look.
Cost and Insurance for Dental Fillings in Langley
Most dental insurance plans cover composite fillings, especially for front teeth where appearance matters. For back teeth, some plans still only cover the cost of silver fillings, but you can pay the difference to upgrade to tooth colored.
We work with all major insurance providers and can submit claims directly for patients from Surrey, Langley Township, and surrounding areas. We'll always check your benefits before starting treatment so there are no surprises.
Payment plans are available for patients without insurance. We believe everyone deserves quality dental care, regardless of their insurance situation.
Getting dental fillings in Langley doesn't have to be stressful or expensive. With modern materials and techniques, most patients find the experience much easier than they expected. Call us to schedule your appointment and see the difference tooth colored fillings can make for your smile.
What We Offer
Treatment Options
Cavity Removal and Filling
Composite (Tooth-Coloured) Filling
Multiple Fillings in One Visit
FAQ
Frequently Asked Questions
Benefits
Key Benefits
- Natural appearance that matches your teeth
- Mercury-free and biocompatible materials
- Preserves more natural tooth structure
- Bonds directly to tooth for added strength
- Immediate function after placement
Ready to Book Your Appointment?
Our friendly team is ready to help you schedule your Dental Fillings appointment.
Book NowFAQ
Common Questions
Professional Dental Fillings - Part of Our Complete Dental Services
Dental Fillings is one of many specialized dental treatments we offer at Spire Dental Care. As your trusted dentist in Langley, we provide comprehensive dental services to families throughout Langley, Surrey, Cloverdale, and surrounding communities. Our experienced dental team is committed to delivering exceptional care in a comfortable, modern environment.
Complete Dental Services
Full-service dentist offering preventive, restorative, cosmetic, and emergency dental care
5-Star Patient Care
Highly-rated Langley dental practice with exceptional patient reviews and testimonials
Convenient Location
Easily accessible dental office serving Langley, Surrey, Cloverdale, and Fraser Valley
Explore More Restorative Dentistry
Discover our complete range of restorative dentistry treatments and learn about related dental services we offer at our Langley practice. As a full-service dental clinic in Langley, we provide comprehensive care that complements your Dental Fillings treatment for optimal oral health.

Ready for Expert Dental Fillings?
Schedule your Dental Fillings appointment today and discover why our patients choose Spire Dental Care for their dental needs.