Broken Tooth Emergency Care in Langley
Immediate care for broken, chipped, or fractured teeth to prevent further damage and restore function.

Experienced Specialists
Highly trained dental professionals
Advanced Technology
State-of-the-art dental equipment
Comfortable Experience
Patient comfort is our priority
About Broken Tooth Emergency Care
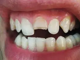
A broken tooth can be a traumatic and frightening experience, whether it results from biting down on something hard, a sports injury, an accident, or simply the culmination of years of wear and existing dental work finally giving way. The sudden sharp pain, the feeling of rough or sharp edges against your tongue, and the visible damage to your smile can leave you feeling anxious and uncertain about what to do next. Understanding that broken teeth constitute true dental emergencies requiring prompt professional care, we provide comprehensive emergency treatment designed to address both the immediate damage and prevent further complications.
The severity of tooth fractures can vary dramatically, from minor chips that primarily affect appearance to deep breaks that expose the tooth's nerve and cause excruciating pain. Regardless of the extent of the damage, broken teeth require professional evaluation and treatment to prevent infection, further structural damage, and potential tooth loss. Even seemingly minor chips can have sharp edges that cut your tongue or cheek, and small fractures can propagate into larger breaks if not properly treated.
Types of Tooth Fractures and Emergency Response
Understanding the different types of tooth fractures helps determine the urgency and type of treatment needed. According to the American Dental Association, minor chips that only affect the tooth's enamel may not cause immediate pain but still require professional attention to prevent further damage and restore the tooth's smooth surface. These chips can often be repaired with dental bonding or polishing during an emergency visit.
More serious fractures that extend into the tooth's dentin layer typically cause sensitivity to temperature and pressure, requiring more extensive treatment such as dental crowns or onlays to restore the tooth's structure and protect it from further damage. The Canadian Dental Association emphasizes that fractures extending into the tooth's pulp chamber, where the nerve and blood supply are located, constitute true emergencies requiring immediate treatment to save the tooth.
Vertical root fractures, which extend from the chewing surface down toward the root, are among the most serious types of breaks and may require extraction if the damage is too extensive to repair. However, many broken teeth can be successfully restored if treatment is provided promptly, making immediate professional evaluation crucial for the best possible outcomes.
Emergency Treatment and Restoration Options
Our emergency response to broken teeth begins with immediate pain management and assessment of the extent of damage, using digital imaging and clinical examination to determine the best treatment approach. We prioritize stabilizing the tooth and preventing further damage while developing a comprehensive treatment plan that addresses both immediate needs and long-term restoration goals.
Immediate treatment may include smoothing sharp edges to prevent injury to your tongue and cheeks, applying protective materials to exposed tooth surfaces, and providing pain management for fractures that have exposed the tooth's nerve. For more extensive breaks, we may perform emergency root canal treatment if the nerve is damaged, followed by temporary restoration to protect the tooth until permanent treatment can be completed.
Restoration options for broken teeth depend on the location and extent of the damage but may include dental bonding for minor chips, porcelain veneers for front teeth with moderate damage, or dental crowns for more extensive fractures. Our goal is to restore both the function and appearance of your broken tooth while preserving as much of your natural tooth structure as possible.
Preventing Further Damage and Complications
Emergency care for broken teeth focuses on preventing complications such as infection, further structural damage, and potential tooth loss. We provide detailed instructions for protecting the damaged tooth until permanent restoration can be completed, including dietary modifications and oral hygiene recommendations specific to your situation.
Follow-up treatment after emergency care is essential for ensuring optimal outcomes, with permanent restorations typically scheduled within days or weeks of the initial emergency visit. Our comprehensive approach to broken tooth care ensures that emergency treatment integrates seamlessly with your long-term dental health goals, providing both immediate relief and lasting restoration.
Need emergency help now? Visit our emergency dentist page for step-by-step first aid instructions and to call us directly at (778) 296-3888.
What We Offer
Treatment Options
Emergency Tooth Repair
FAQ
Frequently Asked Questions
Benefits
Key Benefits
- Immediate assessment and stabilization
- Pain relief for fractured teeth
- Prevention of further damage
- Same-day emergency repairs
- Comprehensive restoration planning
Ready to Book Your Appointment?
Our friendly team is ready to help you schedule your Broken Tooth Emergency Care appointment.
Book NowFAQ
Common Questions
Professional Broken Tooth Emergency Care - Part of Our Complete Dental Services
Broken Tooth Emergency Care is one of many specialized dental treatments we offer at Spire Dental Care. As your trusted dentist in Langley, we provide comprehensive dental services to families throughout Langley, Surrey, Cloverdale, and surrounding communities. Our experienced dental team is committed to delivering exceptional care in a comfortable, modern environment.
Complete Dental Services
Full-service dentist offering preventive, restorative, cosmetic, and emergency dental care
5-Star Patient Care
Highly-rated Langley dental practice with exceptional patient reviews and testimonials
Convenient Location
Easily accessible dental office serving Langley, Surrey, Cloverdale, and Fraser Valley
Explore More Emergency Dental Care
Discover our complete range of emergency dental care treatments and learn about related dental services we offer at our Langley practice. As a full-service dental clinic in Langley, we provide comprehensive care that complements your Broken Tooth Emergency Care treatment for optimal oral health.

Ready for Expert Broken Tooth Emergency Care?
Schedule your Broken Tooth Emergency Care appointment today and discover why our patients choose Spire Dental Care for their dental needs.